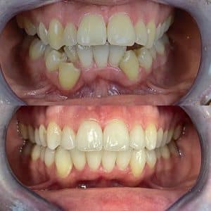
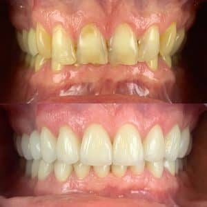
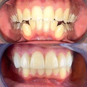
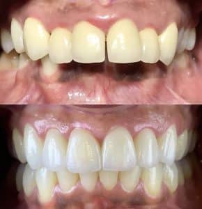
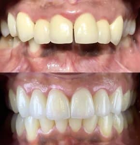
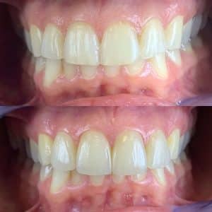
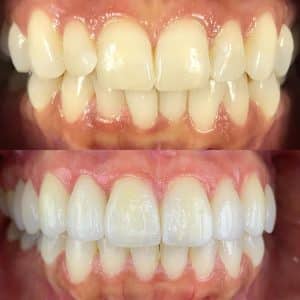
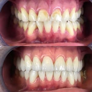
Before And After Results
At the Cosmetic Dental Emporium, we have seen some of the most complicated teeth arrangements come together with our different ranges of services, from Smile Makeovers to Veneers to Smile Reconstructions and other Cosmetic Dental Treatments
Here are some of our best Before & After shots of some of our happy clients.
For more information about Dental Services or any of the other Cosmetic Services, feel free to contact us via the website, cell number or Email. We at CDE Cape Town, cannot wait to hear from you.




































































